转子间骨折是一种常见的骨科损伤,对患者的发病率和医疗保健系统的成本都很高,手术固定是治疗的主要方法,损伤后48小时内进行手术可以降低死亡率。尽管植入物设计和微创技术取得了进步,但失败率仍高达9%至16%。虽然失败的风险是多因素的,但优化外科医生相关的因素至关重要。

优化股骨转子骨折固定需要几个关键步骤:
一、术前计划
专门的髋部x线片是评估骨折形态的必要条件。虽然大转子尖端与股骨头中心之间的关系通常是共面的,但正位骨盆或对侧髋关节x线片可以帮助评估天然解剖结构和潜在的髋外翻(coxa valga )或者髋内翻(coxa vara) (下图A正常颈干角,B髋外翻,C髋内翻)

内旋牵引x线片在术前计划中特别有用。特别地,Khurana等人证实,内旋牵引x线片显著提高了股骨近端骨折分类的诊断准确性、可信度和观察者间的一致性。此外,术前牵引x线片可以帮助外科医生确定闭合复位动作何时可能成功(图2)。

二、确定棘手的股骨粗隆间骨折的损伤类型
“不稳定”股骨粗隆间骨折的最佳治疗方法仍存在争议。最近的文献表明,AO/OTA的A2骨折由于明显的后内侧粉碎,可以用髓外或髓内装置治疗,但成功率不确定。相比之下,A3型骨折伴侧壁骨折延伸需要髓内固定。多项研究表明,髓外植入物成功治疗转子间骨折需要一个完整的外侧壁。Hsu等人证实,侧壁厚度小于20.5 mm是术后侧壁骨折的可靠预测指标。最新的第14版坎贝尔骨科手术学也明确写道:对于不稳定型股骨转子间骨折(A3骨折和一些A2骨折),最佳治疗方式是使用髓内钉固定。(p2635)

注:外侧壁厚度示意图。在X线正位片上大转子无名结节下方3cm处作为参考点,然后与股骨干成135°角做一条直线,参考点到骨折线的距离即为外侧壁厚度(以毫米为单位)
逆转子间骨折在复位和植入方面存在特别的挑战。需区分高能和低能粗隆部骨折,因为这些骨折的“表现”不同(下图)。虽然低能骨折可以在骨折手术台上通过闭合复位成功治疗,但高能骨折通常需要经皮或开放复位技术。

左侧髋关节侧位透视图显示尽管骨折手术台上有足够的牵引和旋转,骨折碎片仍有较大的移位。
三、选择合适的植入物
髋关节粗隆部骨折的治疗随着植入物设计的改变而发展。侧壁完整性是种植体选择的最重要决定因素。虽然转子下骨折最常用长髓内植入治疗,但也可使用刀片钢板和股骨近端锁定钢板。
短髓钉与长髓钉治疗股骨粗隆间骨折的适应证有争议,最近的研究表明,两种种植体的骨折发生率相当,而短钉具有更短的手术时间和减少失血的好处。短钉避免了潜在的股骨弓形和皮质穿孔的长钉不匹配。骨折形态是选择钉长时需要考虑的重要因素。长钉可能更适合治疗反向转子间骨折和转子下骨折。

使用螺旋刀片或螺钉固定头脊骨仍然是植入物设计中争论的另一个话题。螺旋刀片的支持者强调其在减少骨丢失的同时防止旋转畸形的能力,而螺钉植入的支持者则认为其增加了生物力学强度。作者的首选方法是使用拉力螺钉进行头髓内固定。
四、获得和评估合适的透视成像
术中透视普遍用于评估骨折的复位和固定。
为了评估骨折固定期间的透视视图,必须了解完整股骨的近端股骨关系,以及它们如何随透视光束位置、腿部位置和正常解剖变异而变化。股骨近端图像显示股骨粗隆尖与股骨头中心的标准关系,当股骨近端向外旋转时,股骨颈轴角度增加,股骨颈似乎变短(下图)。

x线片显示同一髋从内旋(IR)到外旋(ER)的AP透视图像。注意髋关节从IR到ER的距骨轮廓的变化。当颈干角从屈曲/IR到屈曲/外旋时,注意颈干角角度的外观。
同样,髋关节屈伸可以显著改变颈轴角度的透视图。在Bhashyam等人的研究中,髋关节屈伸和旋转对NSA的测量有协同效应,当髋关节屈伸在中立位10°以内时,测量误差最小。因为受影响的髋关节倾向于屈曲和内旋,这会给人内翻增加的错觉。

术中髋关节侧位透视对复位和植入物的评估。A,侧位图像最适合植入物,显示股骨头、股骨颈和股骨轴共线。B,同一髋关节内旋侧位片。C,同一髋的外旋转侧位图像,是评估前内侧皮质支撑和髋粗隆部骨折复位的最佳选择。D - F,术中透视图像获得骨折台上仰卧位,显示AP (D)、侧位植入物(E)和侧位复位(F)视图
五、进行安全的开放或经皮入路
为了获得完美的侧位,可以将c臂置于一个平坦、水平的位置,然后旋转(“彩虹向上”)约15°,以匹配患者的自然前倾,并对齐股骨头和颈部(下图)。

虽然大多数低能转子周围骨折可采用闭合复位手法治疗,但对于一些高能量损伤,可采用开放的Watson-Jones或股下入路。Watson-Jones方法是
通常用于处理转子间和颈基区转子周围骨折。
六、获得并保持骨折复位
通常将患肢置于骨折手术台上仰卧位,牵引并内旋15°以获得复位。使用对侧未受伤肢体作为对照是有帮助的,髌骨居中和同侧股骨近端透视图作为参考。
影像学复位的关键评估需要评估前内侧皮质支撑。由于股骨距在转子周围骨折中经常被破坏和粉碎,前内侧皮质支撑为骨折碎片的伸缩提供了最终的结构约束。在AP视图上,解剖性或阳性的前内侧皮质支撑可减少骨折的可控塌陷。

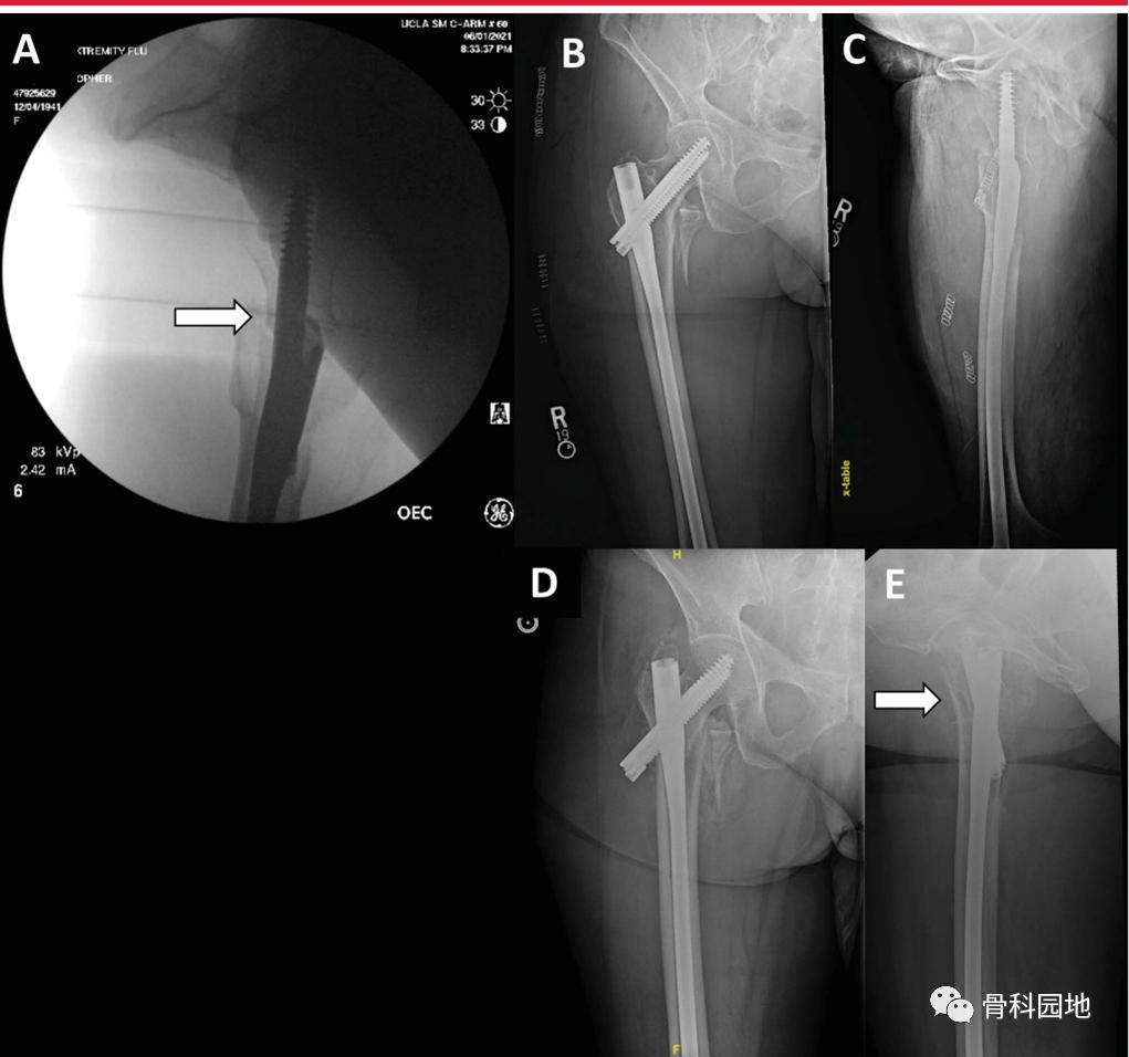
A,侧位复位图显示皮质前内侧支撑(箭头)。B,术后AP图像显示皮质对齐。C,术后侧位图像显示前内侧皮质支撑变形。D-E, AP和侧位图显示术后6周明显塌陷(箭头)。
外侧的解剖复位可能很难,这可能是因为髂股韧带强大的限制。可以防止股骨颈前移位。可使用的技术是沿内侧和下颈部由前向后放置Schanz针。这可以使前内侧皮质支撑提升到解剖复位和/或正复位。
七、在需要时,使用辅助复位工具
多种辅助技术和工具可用于骨折复位,包括尖头复位钳、环扎钢丝、骨钩、球钉推杆、共线钳和单皮质钢板(下图。

A和B,损伤AP和右侧髋侧位x线片显示髋粗隆粉碎骨折。C,透视图像显示用于复位的多点复位钳和环扎钢丝。D, AP骨盆术后显示股骨转子周围骨折复位良好。E, AP术后图像显示骨折复位良好,重建钉置入。F,侧位图像显示髋关节转子周围骨折位置良好,复位良好。G,显示辅助经皮复位工具,包括(从R到L) Cobb,骨钩,共线钳和球钉推杆。
八、进行正确的植入物放置
最佳的内固定位置对于维持骨折复位和降低内固定失败的风险至关重要。特别是开口,可以显著影响整个冠状面和矢状面对齐骨折粗隆髓内装置治疗转子周围骨折可使植入物复位不良。
首选的方法是使植入物长轴与股骨轴线对齐,以避免内翻复位不良,内翻复位不良通常位于转子尖端内侧。为了在矢状面与股骨管对齐,起始点应该在转子顶点后约5毫米处,以允许其前偏移。对于转子下骨折,尤其重要的是矢状面开始位置不要太前。生物力学和临床研究普遍认为,螺钉或螺旋刀片的适当位置应位于侧位正中,AP位正中或下位。

A, x线片显示74岁女性,表现为左侧髋关节转子间骨折。B,侧位图像显示股骨粗隆间粉碎性骨折。C,术后AP图像显示外翻复位和不适当的尖-尖距离。D,术后侧位图像显示较大的端-端距离。E,术后6周AP图像显示内翻塌陷,螺旋刀片切开。F,术后6周的侧位图像显示螺旋刀片切口。
附、股骨转子间骨折髓内钉固定要点和失误防范(Wiesl骨科手术学 第2版 )



