股骨远端骨折是指在股骨远端关节面15cm内发生的骨折,其发病率占股骨骨折的3%~6%,约占全身骨折的1%。流行病学研究表明股骨远端骨折发病年龄呈“双峰状”分布,分别好发31~50岁中青年人群和60岁以上老年人群。交通事故、高处坠落等高能量损伤导致的股骨远端骨折多为C2/C3型骨折,骨折大多累及膝关节面和股四头肌伸肌装置,常伴有股骨内侧骨质缺损及严重软组织损伤。
股骨远端定义在股骨髁和股骨干骺端的区域,从关节面测量这部分包括股骨远端9cm(图1)。

图1 股骨远端解剖示意图
股骨髁和胫骨髁适合于重力直接向下传导,在负重过程中,两髁位于胫骨髁的水平面,股骨干向下和向内倾斜,这种倾斜是由于人体的髋宽度比膝宽。股骨干的解剖轴和负重或机械轴不同,机械轴通过股骨头中点和膝关节的中心,总体来说,股骨的负重轴与垂直线有3°,解剖轴与垂直轴有7°(平均9°)的外翻角度。正常膝关节的关节轴平行于地面,解剖轴与膝关节轴在外侧呈81°角,在进行股骨远端手术时,每一患者都要与对侧比较,以保证股骨有正确的外翻角并保持膝关节轴平行于地面(图2)。

图2 下肢力线示意图
AO骨折分型
AO组织将股骨远端分为3个主要类型:A(关节外);B(单髁);C(双髁)。每一型又分成3个亚型:
A1,简单两部分骨折;
A2,干楔型骨折;
A3,粉碎骨折;
B1,外髁矢状面骨折;
B2,内髁矢状面骨折;
B3,冠状面骨折;
C1,无粉碎股骨远端骨折(T形或Y形);
C2,远端骨折粉碎;
C3,远端骨折和髁间骨折粉碎。
从A型到C型骨折严重程度逐渐增加,在每一组也是自1~3严重程度逐渐增加(图3)。

图3 股骨远端骨折的AO分类
治疗方法
1、非手术治疗
传统非手术治疗包括闭合复位骨折、骨牵引和管形石膏,这种方法患者需要卧床,治疗时间长、花费大,不适合多发创伤和老年患者。闭合治疗虽然避免了手术风险,但经常遇到骨折畸形愈合和膝关节活动受限。
非手术治疗的目的不是要解剖复位而是恢复长度和力线,由于骨折靠近膝关节,轻微的畸形可导致膝关节创伤性关节炎的发生。股骨远端骨折可接受的位置一般认为在冠状面(内外)不超过7°畸形,在矢状面(前后)不超过7°~10°畸形,短缩1~1.5cm一般不影响患者的功能,关节面移位不应超过2mm。
2、手术治疗
锁定钢板:
患者仰卧,膝关节屈曲60°。行股骨远端外侧纵切口,显露骨折处,尽量保留骨折块血供,逐一复位骨折,先用克氏针临时固定髁间骨折部位,再选择相应的锁定钢板行骨折内固定。完成固定后,撤除临时固定的克氏针。透视下确认骨折复位满意,内固定可靠。放置引流管,逐层闭合切口。

图4 患者,男,37岁,车祸导致左侧股骨远端C3型骨折,采用解剖锁定钢板内固定治疗 2a,2b:术前正侧位X线片示左侧股骨远端C3型骨折 2c,2d:术后复查X线片示内固定稳定,复位良好。
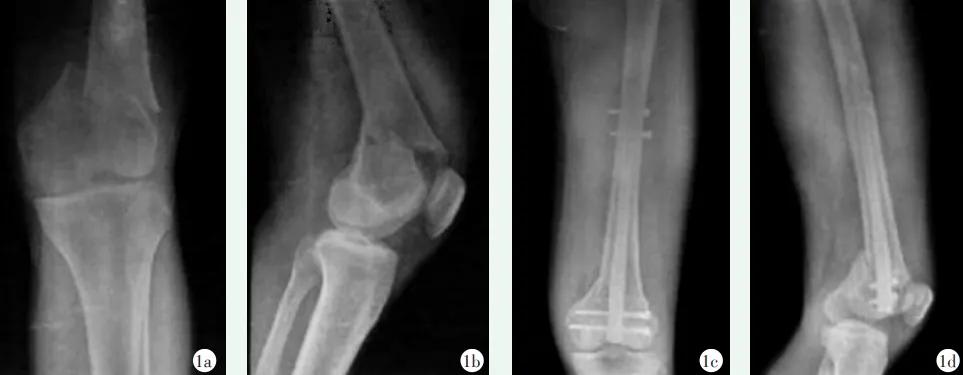
逆行髓内钉内固定:
采用逆行髓内钉内固定治疗,体位与钢板组患者保持一致。于髌腱内侧行3.0cm的纵切口,用牵开器牵开膑腱,并进行保护。显露股骨髁间窝,于后交叉韧带止点的前上方开髓,侧位透视下开髓点与股骨前髁与Blumensaat线构成的“V”字尖端重合。置入导针,至股骨近段髓腔。纵向牵引,复位骨折,恢复股骨长度。沿导针逐级扩髓,置入合适的髓内钉,直至没入髓间窝皮质骨的近侧,依次在瞄准器引导下置入远折端和近折端的锁定螺钉。最后拧入髓内钉尾帽。透视下确定复位和骨折固定情况,必要时需调整。放置引流管,逐层闭合切口。

图5 患者,男,32岁,车祸导致左侧股骨远端A2型骨折,行逆行髓内钉内固定治疗 1a,1b:术前正侧位X线片示左侧股骨远端A2型骨折 1c,1d:术后复查X线片示内固定稳定,复位良好。
股骨远端解剖锁定钢板内固定治疗具有可靠的手术效果,但是与逆行髓内钉内固定比较,其手术时间较长、出血量较大、术后关节功能恢复略差。
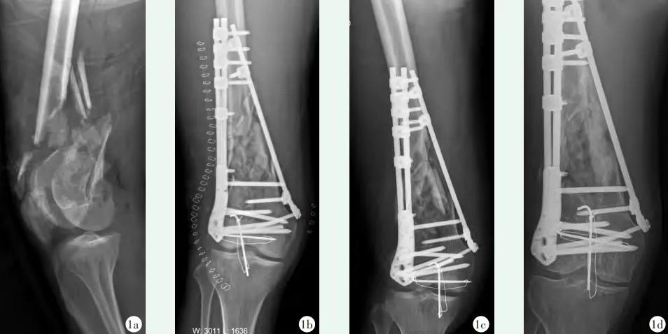
桥接组合式内固定系统(bridge combined fixation system,BCFS)混棒固定:
由胫骨结节近端至股骨远端中外侧行股骨远端前外侧切口,切开阔筋膜,沿股直肌与股外侧肌之间分离,适当劈开股中间肌,显露、复位并维持骨折断端,克氏针临时固定,1cm以上的骨缺损行同种异体骨移植。选择两根连接棒置于股骨远端外侧,连接固定块,股骨外侧髁上可选解剖块,通过切口插入桥接系统;于股骨内侧髁处行长约3cm辅助切口,选择单根连接棒穿软组织隧道置于股骨远端内侧,连接固定块,在C形臂X线机辅助下通过导向器钻孔并拧入螺钉固定,放置引流管,闭合切口。

图6 患者,男,40岁,右股骨远端骨折,AO分型C2型,行BCFS混棒固定手术治疗,同时合并髌骨骨折,行克氏针张力带手术治疗。1a:术前X线片示右股骨远端骨折合并髌骨骨折;1b:术后X线片提示骨折线位良好,内固定稳定;1c:术后1个月X线片提示内固定未见松动,骨折复位未见丢失;1d:末次随访X线片提示骨皮质连续,骨折愈合。
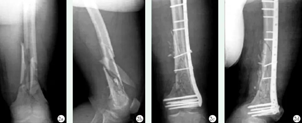
桥接组合式内固定系统(bridge combined fixation system,BCFS)双棒固定:
同样采取股骨远端前外侧入路。清理骨折断端,视情况采用内侧辅助切口复位骨折,沿力线维持、克氏针临时固定,1cm以上的骨缺损行植骨,选取两根连接棒,连接固定块,置于股骨远端外侧,拧入螺钉固定,余同混棒固定。

图7 患者,女,65岁,左股骨远端骨折,AO分型C1型,行BCFS双棒固定手术治疗。2a:术前X线示左股骨远端骨折;2b:术后X线片示内固定稳定,内侧皮质重叠;2c:术后1个月X线片示骨折线可见;2d:末次随访X线片提示骨折完全愈合,但存在内翻。
桥接系统混合及双棒结构均能固定股骨远端骨折,但混棒式双侧固定在获得稳定固定的同时,可对股骨远端内侧起到有效支撑,避免内翻畸形的发生,有利于膝关节功能的恢复,尤其对于A3,C型(AO/OTA分型)骨折,是治疗的良好选择。
